ALL-ON-X HYBRIDS
ALL-ON-X HYBRIDS | BUCKHEAD & ATLANTA, GA
The All-On-X Hybrid is are a remarkable technique that requires a minimum of 4 and maximum of 8 implants in either the upper or lower jaw to support all of the replacement teeth for that dental arch. All-on-X typically involves only one surgery to place all of the implants, avoids the need for additional bone grafting procedures, and provides the instant gratification of a full set of temporary teeth immediately on the same day as the surgery.
As a permanent fixed replacement for all of the teeth, the All-on-X dental implant technique achieves unprecedented results with a minimal number of dental implants and surgical procedures, thereby making it an appealing cost-effective solution for permanently replacing a full set of teeth.
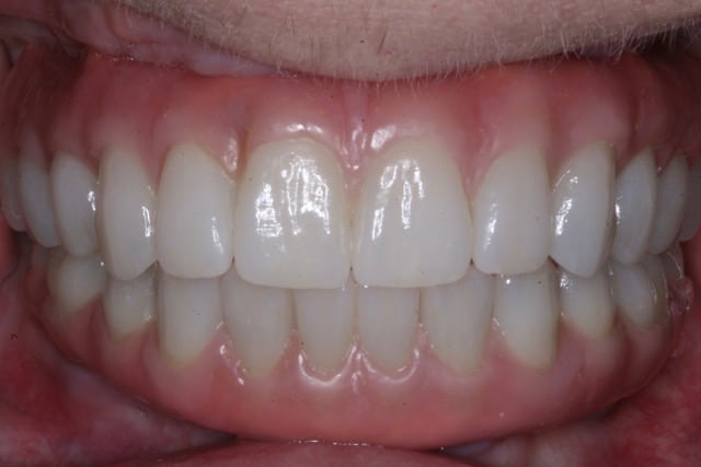
Once post-surgical healing is complete and the All-on-X dental implants have fully integrated with your jawbone, the temporary bridge is permanently replaced by your customized final bridge. These new permanent “hybrid” teeth (known as such because they replace both tooth and gum structure) are completely secure function like natural teeth.
Dr. Arnold advocates the team approach to collaborate with highly qualified specialists in oral surgery and master dental technicians, selected individually for each patient to render a predictable outcome.
Upper / Lower Hybrids
Upper / Lower Hybrids
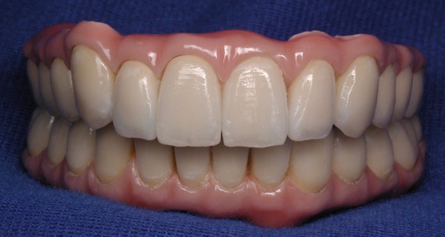
Lower Hybrid / Top View
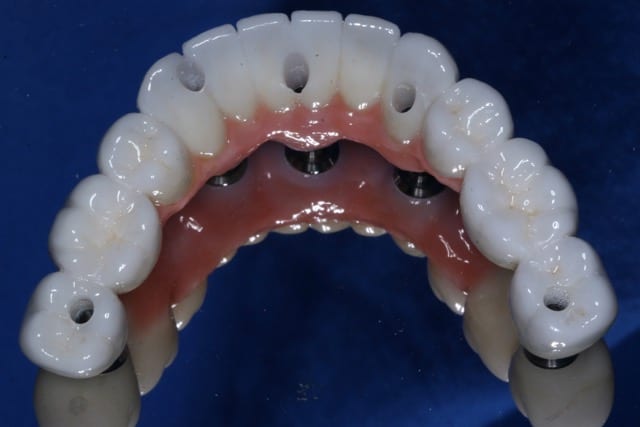
Lower Hybrid / Underside
Our Speciality Clinic
International Medical College Hospital a bed multispecialty tertiary care referral hospital with Outpatient and Inpatient services. It has world-class treatment