Bruxism (Teeth Grinding)

Bruxism [Teeth Grinding] in Buckhead | Atlanta, GA

Studies have shown that bruxism tends to be related to stress, and people generate much greater forces when grinding their teeth than they do during normal jaw function. The movements of the jaw during bruxism are more exaggerated than the more limited movement of someone’s normal jaw function.

Bruxism is an oral parafunctional activity which commonly occurs with most people at some point in their lives. The two main characteristics of this condition are grinding the teeth and clenching of the jaw. These actions usually occur during a person’s sleeping hours, but occasionally they occur during the day.

Bruxism is one of the most common known sleep disorders. Chewing is a neuromuscular activity controlled by a subconscious process, but more highly controlled by the brain. During sleep, the subconscious process may become active while the higher control is inactive (asleep), resulting in bruxism. The most common symptoms are earaches and headaches, depression, eating disorders, anxiety, and chronic stress.

WHY SHOULD I RECEIVE TREATMENT FOR BRUXISM?

Gum Recession – Bruxism is a leading cause of gum recession and tooth loss. Grinding teeth can damage the soft tissue directly and lead to loose teeth and deep pockets where bacteria are able to colonize and decay the supporting bone.

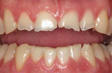
  • Facial Pain – Grinding can eventually shorten and blunt the teeth. This can lead to muscle pain in the myofascial region and, in severe cases, incapacitating headaches.
  • Occlusal Trauma – The abnormal wear patterns on the occlusal (chewing) surfaces of the teeth can lead to fractures, which if left untreated, may require restorative treatment at a later time.
  • Arthritis – In the most severe cases, bruxism can eventually lead to painful arthritis in the temporomandibular (TMJ) joints that allow the jaw to open and close smoothly.

Once bruxing is under control, we can perform a variety of dental procedures to restore the pleasant aesthetic appearance to your smile such as dental crowns, gum grafts and crown lengthening.

THE PROCESS

A BiteStrip® is a device available from our office to diagnose bruxism at home. The device itself is a small electromyography, which can sense and monitor activity in the jaw muscles during sleep. The frequency and severity of the condition can then be assessed and a plan of treatment can be determined.

BRUXISM TREATMENT OPTIONS

Though there is no one cure for bruxism, there are a variety of devices and services available from our office to help treat bruxism.

  • Mouthguard – An acrylic mouthguard can be designed from teeth impressions to minimize the abrasive grinding action during normal sleep. Mouthguards are expected to be worn on a long-term basis to help prevent tooth damage.
  • NTI-tss Device – This device only covers the front teeth and must be fitted at our office. The idea behind the NTI-tss is to prevent grinding the rear molars by limiting the contraction of the temporalis muscle in the jaw.
  • BOTOX® Cosmetic – BOTOX® Cosmetic can be injected into the muscles responsible for bruxing by disabling them enough to prevent grinding, but not enough to disrupt normal functions like speaking and chewing. Call us today to schedule your Botox appointment at our Buckhead office. 

Our Speciality Clinic

International Medical College Hospital a bed multispecialty tertiary care referral hospital with Outpatient and Inpatient services. It has world-class treatment

0 +

Support Given

0 +

Clients Rating

0 M +

Money Saved

0 +

Happy Clients