PATIENT PHOTOS BEFORE & AFTER

Post Orthodontics Ready for Complete Smile Makeover

Treated with Gum Sculpting and 10 Porcelain Veneers

Dull, Yellowed teeth, which weren’t amenable to bleaching

Ultra conservative approach using custom designed thin Veneers

Severely worn, discolored teeth in a state of disrepair, making patient appear older than she is.

Full Mouth reconstruction utilizing utilizing implants while preserving patient’s lower front natural teeth with Dental Zirconia Crowns

Severly Tetracycline stained and severly worn and aged upper teeth

Younger vibrant smile achieved with 10 Zirconia Dental Crowns

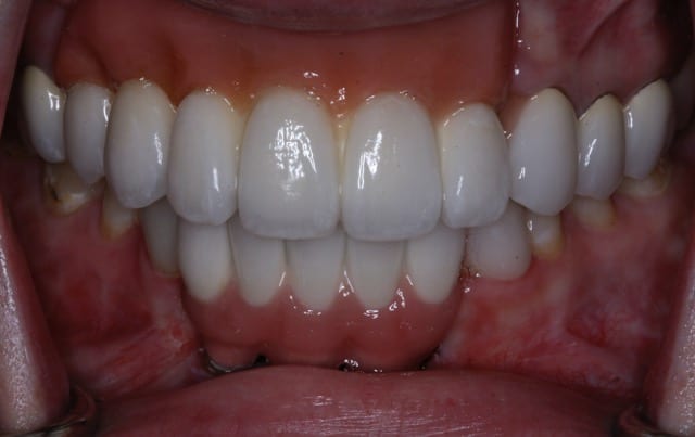
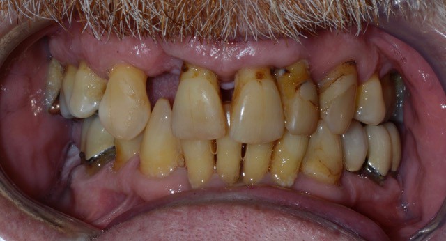
Terminal Dentition requiring Full Mouth Implants

Complete Restoration achieved with Upper and Lower Zirconia-Titanium Hybrids

Crowded, overlapping dentition. Patient wished to solve without orthodontics

Results achieved with 8 Porcelain Veneers, Improved alignment and covered gum recession

Detail Before

Detail After

Loss of upper and lower teeth and gum tissue due to accident

Complete Dental Implant Reconstruction in collaboration with Emory University with 16 year successful follow up

Adolescent patient after Orthodontics requiring Crown replacement

Closed spaces with new Dental Crowns and Re-proportioned ont 6 Teeth

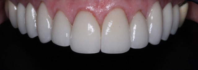
Large midline diastema

Midline space closed and front teeth re-proportioned with 8 custom Laminate Veneers

Before

After

Our Speciality Clinic

International Medical College Hospital a bed multispecialty tertiary care referral hospital with Outpatient and Inpatient services. It has world-class treatment

0 +

Support Given

0 +

Clients Rating

0 M +

Money Saved

0 +

Happy Clients